การฟอกสีฟันโดยปกติมี 2 ประเภท
- การฟอกสีฟันตาย (Internal tooth bleaching) ส่วนใหญ่มักพบในฟันที่รักษารากฟันเป็นระยะเวลานาน หรือฟันที่ประสบอุบัติเหตุ แล้วไม่ได้รักษารากฟัน เกิดจากกระบวนการตายของเนื้อเยื่อในโพรงประสาทฟัน และมีการเปลี่ยนสี ซึ่งอาจจะเป็นสีเหลืองเข้ม หรือสีเทา ถ้าพบในฟันที่รักษารากฟันแล้ว สามารถแก้ไขสีฟันให้กลับมาใกล้เคียงกันได้ด้วยการ ฟอกสีฟันภายในฟัน เรียกว่า การฟอกสีฟันตาย ค่าใช้จ่ายต่อซี่ ต่อคอร์ส รวมอุดฟันอยู่ที 3000 บาท/ซี่ มาประมาณ 2-3 ครั้ง (ค่าใช้จ่าย 3000 บาทรวมหมดแล้ว) แต่ถ้าฟันซี่นั้นยังไม่รักษารากฟัน จะต้องรักษารากฟันให้เสร็จเรียบร้อยก่อนถึงค่อยฟอกสีฟันตาย

2.การฟอกสีฟันทั้งปาก
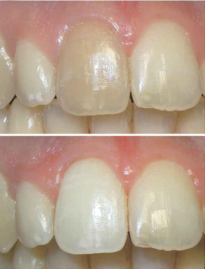
เป็นการฟอกสีฟันทั้งปาก เป็นการฟอกสีฟันแบบภายนอกช่องปาก โดยการใช้สารฟอกสีฟัน ฟอกบริเวณผิวด้านนอกของฟัน ซึ่งถ้าใช้สารฟอกสีฟันที่ถูกต้อง จะไม่ส่งผลหรือทำอันตรายต่อผิวเคลือบฟัน ทั้งนี้ก่อนฟอกสีฟัน ควรได้รับการวินิจฉัยจากทันตแพทย์ก่อนว่า ฟันเหลืองของเรานั้น เกิดจากสาเหตุใด โดยปกติ ถ้าเกิดจากปัจจัยภายนอก เช่น การทานอาหารและเครื่องดื่ม นั้น ฟันจะสามารถขาวขึ้นอย่างชัดเจน แต่ถ้าเกิดจากปัจจัยภายใน เช่น ความผิดปกติของผิวเคลือบฟัน หรือ ความผิดปกติของเนื้อฟันภายใน อาจต้องแก้ไขด้วยวิธีอื่น เช่นการทำวีเนียร์เป็นต้น

Tetracycline Stain แก้ไขได้ด้วยการทำ วีเนียร์

ฟันเหลืองเนื่องจากปัจจัยภายนอก เช่น อาหาร เครื่องดื่ม สามารถแก้ไขได้ด้วยการ ฟอกสีฟัน
รูปแบบของการฟอกสีฟัน
- การฟอกสีฟันที่คลินิก (Inoffice tooth bleaching) เป็นการฟอกสีฟันด้วยทันตแพทย์ บนเตียงทำฟัน เป็นการฟอกสีฟันที่มีราคาแพงที่สุด แต่สามารถเห็นผลได้ทันที เหมาะกับคนไข้ที่ไม่สะดวกฟอกสีฟันที่บ้านหรือไม่มีเวลา หรือคนไข้ที่ต้องการสีฟันที่ขาวขึ้นอย่างรวดเร็ว เพื่อที่จะไปงานต่างๆ รูปแบบของการฟอกสีฟันประเภทนี้คือ จะมีการใช้น้ำยาฟอกสีฟันที่มีความเข้มข้นสูง ร่วมกับการใช้แสงกระตุ้น เพื่อให้น้ำยาทำปฏิกิริยา ร่วมกับการใช้น้ำยาป้องกันเหงือกในระหว่างทำฟัน ข้อเสีย ของการฟอกสีฟันวิธีนี้คือ จะเสียวหลังทำฟันค่อนข้างมาก ในคนไข้ที่เสียวฟันง่ายอยู่แล้ว และจำเป็นต้องเคลียร์ช่องปาก ขูดหินปูน หรือ อุดคอฟัน ให้เรียบร้อยก่อนฟอกสีฟัน ราคาโดยปกติอยู่ที่ 6,500 บาทต่อคอร์ส พิเศษ ช่วงนี้มี โปรโมชั่น ราคาฟอกสีฟันเพียง 4,444 บาท

วิธีการฟอกสีฟันที่คลินิก

โปรโมชั่น ฟอกสีฟัน จนกว่าสินค้าจะหมด
2. การฟอกสีฟันที่บ้าน (Home Bleaching) เป็นรูปแบบการฟอกสีฟันด้วยตนเองของคนไข้ที่บ้าน ด้วยน้ำยาเฉพาะทางโดยทันตแพทย์ โดยปกติจะมีความเข้มข้น อยู่ที่ 10% 15% 20% และ 25% ในความเข้มข้นที่มากขึ้น จะทำให้คนไข้เสียวฟันขณะฟอกสีฟันมากยิ่งขึ้น แต่ฟันก็จะขาวเร็วขึ้น โดยอย่างน้อยควรจะต้องฟอกน้ำยาในช่องปากอย่างน้อย 5 ชั่วโมง เมื่อขาวจนพอใจสามารถหยุดฟอกได้ทันที หรือ ถ้ายังไม่ขาวสามารถฟอกต่อเนื่องได้ แต่ไม่ควรเกิน 2 สัปดาห์ พัก 1 สัปดาห์ และ ฟอกต่ออีก 2 สัปดาห์ ทันตแพทย์จะเป็นผู้ให้คำแนะนำ เป็นรายบุคคล ข้อดีของการฟอกสีฟันด้วยวิธีนี้ก็คือ โอกาสฟันจะกลับมาเหลืองจะช้ากว่าวิธีแรก ปรับความขาวได้ด้วยตนเอง ถาดฟอกสีฟันเฉพาะบุคคล ทำให้โอกาสฟันขาวโดยทั่วถึงจะดีกว่าแบบสำเร็จรูป

ถาดฟอกสีฟันที่บ้านเฉพาะบุคคล ราคา 4500 บาท
3. Over the counter whitening treatment เป็นการฟอกสีฟันโดยตนเองที่บ้าน โดยวิธีการต่างๆ โดยสารฟอกสีฟันอาจอยู่ในรูปแบบของ เจล ปากกา และยาสีฟัน โดยมีสารฟอกสีฟันที่มีความเข้มข้นต่ำ เพื่อไม่ให้เกิดอันตรายแก่เหงือกและฟัน โดยปกติ ความขาวจะไม่แน่นอน และไม่ควรใช้เป็นประจำทุกวัน เพราะจะทำให้เคลือบฟันสึก เสียหายในระยะยาว ควรใช้ต่อเนื่องไม่เกิน 3 เดือน หรือพอฟันเริ่มขาวจนพอใจก็ควรจะหยุดใช้ และในระหว่างใช้งานควรหลีกเลี่ยง เครื่องดื่ม หรือพฤติกรรม ที่จะทำให้ฟันติดสีฟันได้ง่าย เช่น การสูบบุหรี่ วิธีการใช้งาน อ่านตามคำแนะนำของแต่ละผลิตภัณฑ์



โดยปกติระดับความขาวของฟัน ในแต่ละผลิตภัณฑ์อาจจะไม่เท่ากัน เนื่องจากหลายปัจจัย เช่น ปัจจัยจากเนื้อฟันเดิมคนไข้ ปัจจัยจากการรับประทานอาหาร หรือพฤติกรรมบางอย่างที่ส่งเสริมการติดสี เช่นการสูบบุหรี่เป็นประจำ ผลสำเร็จของการฟอกสีฟัน จึงควรปรึกษาทันตแพทย์
