
เพราะเราใส่ใจอยากให้คุณใช้ฟันปลอมเราไปอีกนานๆ
การเคลียร์ช่องปาก คือ อะไร การเคลียร์ช่องปาก คือ การเตรียมความพร้อมสภาพช่องปากของฟันที่เหลือ ให้พร้อมกับการใช้งาน หรือ เพื่อรองรับฟันปลอมที่จะใช้งานในอนาคต ให้มีอายุการใช้งานที่ยาวนานขึ้น ไม่ต้องมาทำฟันปลอมใหม่บ่อยๆ เพราะฟันปลอมแต่ละชุด ไม่ใช่ถูกๆ การไม่เตรียมช่องปากก่อนใส่ฟันปลอม ก็อาจทำให้ฟันปลอมนั้นใช้งานได้สั้นลง ต้องมาเสียเงินทำฟันปลอมใหม่ โดยเฉพาะคนที่เลือกจะทำฟันปลอมแบบอย่างดี การเตรียมช่องปากก่อนใส่ฟันจึงสำคัญมาก ปกติ การเคลียร์ หรือ เตรียมช่องปาก จึงประกอบไปด้วย การถอนฟัน อุดฟัน และรักษารากฟัน เป็นต้น
ตัวอย่างและชนิดของฟันปลอม
ฟันปลอมมีหลายแบบหลายชนิด มีทั้งแบบติดแน่น ถาวร และ แบบถอดได้ ราคาฟันปลอมแบบติดแน่น ตัวอย่างเช่น รากฟันเทียม ราคาซี่ละ 40000 บาท (ไม่รวมค่าเติมกระดูก) เหมาะกับผู้ที่มีฟันหายเพียงบางซี่ และไม่อยากใส่ฟันปลอมแบบถอดได้

กรณีมีฟันหายในขากรรไกร1-2 ซี่ และไม่อยากใส่รากฟันเทียม ราคาสะพานฟัน เริ่มต้นซี่ละ 9000 บาท คูณ จำนวนซี่ที่ใส่ เช่นใส่ 3 ซี่ (รวมฟันหลัก) ราคาเท่ากับ 9000*3= 27,000 บาท จะเห็นว่าราคาจะถูกกว่า รากฟันเทียม 1 ซี่ ที่จะราคา 40,000 บาท แต่จะต้องกรอฟันดีๆ ข้างเคียงเพื่อทำครอบฟัน

ฟันปลอมถอดได้ฐานอะคริลิค
ฟันปลอมถอดได้ฐานอะคริลิค คือฟันปลอมถอดได้ ราคาประหยัด เริ่มต้นซี่แรกที่ 2000 บาท ซี่ถัดไป 400 บาท ตะขอตำแหน่งละ 100 บาท
ข้อดี : ราคาประหยัด น้ำหนักเบา
ข้อเสีย : ไม่แข็งแรง ยึดติดกับฟันได้ไม่ดี ขยับเวลาทานอาหารเยอะ

ฟันปลอมถอดได้ฐานโลหะ
ราคาเริ่มต้นที่ 8500 บาท ซี่ถัดไป 400 บาท
ข้อดี : แข็งแรง ถ่ายทอดแรงในการบดเคี้ยวได้ดี ขยับเวลาเคี้ยวน้อย สามารถแก้ไขเติมฟันภายหลังได้ ดัดตะขอกรณีไม่แน่นได้
ข้อเสีย : ราคาแพง น้ำหนักจะเยอะกว่าฟันปลอมอะคริลิค เห็นตะขอสีเงิน ต้องกรอเนื้อฟันบางส่วน

ฟันปลอมถอดได้ฐานพลาสติกนุ่ม
ราคาเริ่มต้นซี่แรก 8500 บาท ซี่ถัดไป 400 บาท
ข้อดี : เบา ตะขอสีเหงือก ทำให้เวลายิ้มมองไม่เห็น สวยงามกว่าแบบโลหะ
ข้อเสีย : ไม่สามารถดัดตะขอเพิ่มกรณี ไม่แน่นได้ ไม่สามารถแก้ไขฟันปลอมภายหลังเช่นการเติมฟัน หรือ ปรับให้ฐานฟันปลอมแน่นขึ้นได้
ฟันปลอมถอดได้เฉพาะซี่ บางส่วน
เป็นฟันปลอมแบบอย่างดี ที่ใส่เฉพาะซี่ หรือ ตำแหน่งเดียว เพื่อใส่กันที่ ไม่ให้ฟันล้ม หรือในกรณีที่คนไข้อยากใส่ฟันปลอมแต่ไม่สะดวกเรื่องค่าใช้จ่ายในการทำฟันปลอมติดแน่น ก็เป็นอีกทางเลือกหนึ่ง เพราะจะมีขนาดเล็ก และ ไม่รำคาญเวลาใส่มากนัก ราคาหนึ่งซี่ แบบโลหะ 4500 บาท แบบนุ่มราคา 5000 บาท

ฟันปลอมทั้งปาก
กรณีคนไข้ที่จำเป็นต้องถอนฟันจนหมด การพิจารณาใส่ฟันปลอมทั้งปาก อาจจะต้องมีการ เตรียมช่องปากด้วยการ ตัดแต่ง กระดูกที่แหลมคม หรือกระดูกนูนในบางตำแหน่ง เพื่อให้ ฟันปลอมทั้งปาก มีพื้นที่ในการยึดติดกับเหงือก

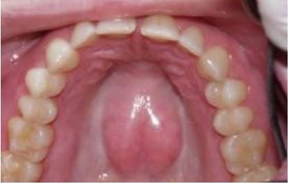
ลักษณะปุ่มกระดูกกลางเพดาน ที่จำเป็นต้องตัดแต่งก่อนใส่ฟันปลอมทั้งปาก
ปุ่มกระดูกบริเวณกระดูกขากรรไกรล่างที่จำเป็นต้องตัดแต่งก่อนใส่ฟันปลอมทั้งปาก

กรณีฟันปลอมทั้งปากที่ทำยังไงก็ไม่แน่น เช่น คนไข้น้ำลายน้อย หรือ คนไข้มีสันกระดูกเตี้ยแบน อาจจำเป็นต้องปักรากเทียม ช่วยยึดอยู่สำหรับฟันปลอมทั้งปาก เพื่อช่วยเพิ่มประสิทธิภาพในการบดเคี้ยว

ราคาฟันปลอมทั้งปากอยู่ที่ 17,000 บาท (บน-ล่าง)
ราคาปักรากเทียมร่วมกับฟันปลอมทั้งปาก ตำแหน่งละ 20000 บาท บน ปัก 2-4 ตำแหน่ง 40000-80000 บาท ล่าง ปัก 2 ตำแหน่ง 40000 บาท
สามารถผ่อน 0% 6 เดือนกับบัตรเครดิตธนาคาร กสิกรไทย
สนใจรายละเอียดเพิ่มเติม สอบถามได้ที่ 0830157046 คลินิกรักยิ้มทันตกรรม

1 thought on “โปรโมชั่น ฟันปลอม”