
วีเนียร์คืออะไร?
วีเนียร์คือการใช้วัสดุบางๆปิดบริเวณผิวหน้าฟัน เพื่อแก้ไขเรื่อง ความสวยงาม การเรียงตัวที่ผิดปกติเล็กน้อย สีฟัน ที่ผิดปกติ รูปร่างฟันเล็กกว่าปกติ

Peg shape tooth

Enamel hypoplasia
อายุการใช้งาน veneer ขึ้นอยู๋กับการดูแลรักษาของคนไข้และฝีมือของทันตแพทย์ ปกติอายุการใช้งานจะประมาณ 5 ปีขึ้นไป (กรณีเซรามิควีเนียร์)
ตัวอย่างฟันที่แก้ไขได้โดยวีเนียร์
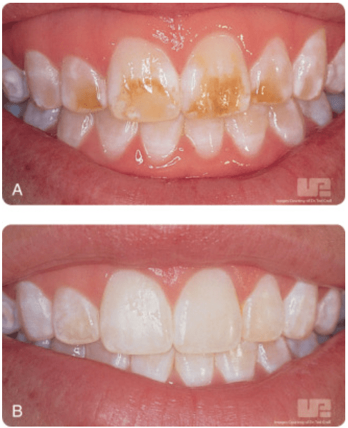
case ที่ 1 คนไข้ไม่ชอบรูปร่างฟันและสีฟัน ก็สามารถแก้ไขทั้งรูปร่างและสีฟันได้ด้วย วีเนียร์
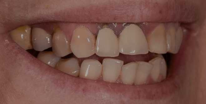
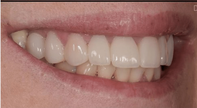
case ที่ 2 แก้ไขครอบฟัน ร่วมกับการทำวีเนียร์และอุดฟัน
case ที่ 3 คนไข้ไม่ชอบรูปร่างฟันและฟันหน้าบนมีช่องตรงกลางฟัน
วัสดุการทำวีเนียร์
- คอมโพสิทเรซิน เป็นวัสดุอุดฟันสีเหมือนฟันที่เอามาแปะและแก้ไขรูปร่างฟัน
ข้อดี ราคาถูก ซ่อมแซมแก้ไขได้ง่าย สามารถทำใน visit เดียวได้เลย
ข้อเสีย แก้ไขความผิดปกติไม่ได้ทุกประเภท สีฟันมีอายุการใช้งานประมาณ 3-5 ปีก็จะเริ่มคล้ำ สีฟันใสสวยสู้แบบเซรามิคไม่ได้
2. พอร์สเลน เป็นวัสดุประเภทเซรามิค ที่มีความสวยงาม และทนทานสูง
ข้อดี สวย อายุการใช้งานยาวนาน แก้ไขความผิดปกติของฟันได้ทุกประเภท
ข้อเสีย ซ่อมแซมยาก ราคาแพง

ตารางเปรียบเทียบข้อดี-ข้อเสียของวัสดุทำวีเนียร์แต่ละประเภท
ขั้นตอนการทำวีเนียร์
- ปรึกษาทันตแพทย์ฟรี ไม่มีค่าใช้จ่าย
- พิมพ์ปาก เพื่อเตรียมทำวีเนียร์ชั่วคราว (สำหรับ พอร์สเลนวีเนียร์) หรือ ทำได้เลย สำหรับ คอมโพสิทวีเนียร์
- สำหรับ พอร์สเลนวีเนียร์ ในครั้งนี้ ต้องเตรียมรูปร่างฟันและพิมพ์ปาก สำหรับส่งแลป
- นัดมาใส่ พอร์สเลนวีเนียร์
ค่าใช้จ่าย
| 1 ซี่ | 6 ซี่ขึ้นไป | |
| คอมโพสิทวีเนียร์ | 3,000 | 2,500 |
| เซรามิควีเนียร์ | 9,000 | 8,500 |
โปรพิเศษ ทำพร้อมกัน 6 ซี่ขึ้นไป ผ่อน 0% 6 เดือน กับบัตรเครดิตธนาคารกสิกรไทย
สวยง่ายๆ สวยไว ๆ ด้วย เดนทัล วีเนียร์







